CANLI
YAYIN
TV YAYINLARI
ATV
A Haber
A Spor
A Para
A2TV
Vav TV
Minika Go
Minika Çocuk
A News
RADYO YAYINLARI
A Haber Radyo
A Spor Radyo
A News Radio
Radyo Turkuvaz
Turkuvaz Romantik
Turkuvaz Efsane
Vav Radyo
Radyo Soft
Radyo Energy
Turkuvaz Anadolu
ANA SAYFA
Haberler
Yazarlar
Son Dakika
Arama
Gündem
Ekonomi
Finans
Apara
Yaşam
Eğitim
Dünya
Resmi İlanlar
Seyahat
Canlı Borsa
Hava Durumu
Bulmaca
Yazarlar
Eğlence
Oyun
Bilmeceler
Bulmaca
Diğer
Teknoloji
Kültür Sanat
Medya
Memur
Otomobil
Eğitim
Çevre
Emlak
Galeri
Türkiye
Yaşam
Dünya
Magazin
Spor
Turizm
Kültür Sanat
Sinema
Emlak
Otomobil
Teknoloji
Eğitim
Alışveriş
Sağlık
Sabah TV
Haber
Spor
Medya
Yaşam
Sağlık
Programlar
Sabah TV On Hayat
Diziler
Ziraat Türkiye Kupası
Video Galeri
Yaşam
Dünya
Spor
Medya
Sağlık
Komik
Hayvanlar Alemi
Ekler
Cumartesi
Pazar
Şans Oyunları
Milli Piyango
On Numara
Sayısal Loto
Şans Topu
Süper Loto
Astroloji
Televizyon
e-Gazete
BİZE ULAŞIN
KÜNYE/İLETİŞİM
Türkiye'nin en iyi haber sitesi
Haberler
İlker Erdoğan Haberleri
İLKER ERDOĞAN HABERLERİ
İlker erdoğan
ile ilgili tüm haberler için doğru yerdesiniz. Güncel, son dakika
İlker Erdoğan
haberleri ve en sıcak haber akışını bu sayfa üzerinden takip edebilirsiniz.
Bu sayfada toplam 6 haber listelenmiştir.
Güncelleme Tarihi: 05.12.2025
00:00
Türk aile Golf turnuvasında birinci oldu
Bir aile altı şampiyon
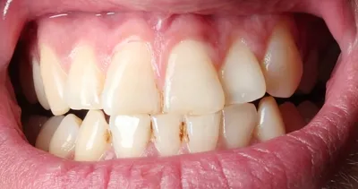
Dişten kanser teşhisi
GALERİ
Dişinde dolgusu olanlar dikkat! Uzmanından dolgu ile ilgili uyarı geldi
Dişinde dolgusu olanlar bu uyarıya dikkat!
Bu hatayı sakın yapmayın!
Haber
Gündem
Dünya
Son Dakika
Yerel Haberler
Tüm Manşetler
Zaman Tüneli
Ansiklopedi
Spor
Ziraat Türkiye Kupası
Futbol
Spor Toto Süper Lig
Şampiyonlar Ligi
UEFA Avrupa Ligi
Milli Takım
Canlı Skor
Basketbol
Voleybol
Tüm Sporlar
Transfer
Spor Magazin
Ekonomi
Güncel Piyasalar
Canlı Borsa
Altın Fiyatları
Dolar Kuru
Euro Kuru
Emlak
Sarı Sayfalar
Gazete İlanlar
Resmi İlanlar
Sigorta
Finans
Borsa
Döviz
Altın
Kripto Para
Tahvil-Bono
Apara
Tarım
Hayatın İçinden
Yaşam
Teknoloji
Turizm
Memur
Kadın
Güzellik
Moda
Otomobil
Eğitim
Namaz Vakitleri
Hava Durumu
Yemek Tarifleri
Rüya Tabirleri
Erkek & Kız İsimleri
Ramazan
Yol Durumu
Eğlence
Günaydın Magazin
Kültür Sanat
Medya
Astroloji
Oyun
Televizyon
Güzel Sözler
Şans Oyunları
Bulmaca
Multimedya
Galeri
Sabah TV
Diziler
Gözleri KaraDeniz
Aşk ve Gözyaşı
Aynadaki Yabancı
Can Borcu
Kuruluş Orhan
Ekler Bölgeler
Ekler
Cumartesi
Pazar
Günaydın
Kitap
Ankara Başkent
Yerel Haberler
Yazarlar
Sabah
Spor
Günaydın
Perspektif
Cumartesi
Pazar
Bölgeler
Tüm Yazarlar
Çizerler
SİZİNKİLER
PİJAMA AİLESİ
HAYATA DAİR
Ziraat Türkiye Kupası
AHaber Canlı İzle
APara Canlı İzle
Aspor Canlı İzle
Atv Canlı İzle
A2 Canlı İzle
Vav TV Canlı İzle
Üyelik İşlemleri
Üye Girişi
Üye Ol
Çıkış
Bildirimleri Aç / Kapat
Künye / İletişim
Bize Ulaşın