Adı verilmeyen bir bebeğin tıbbi olarak "aphallia" adı verilen bir durumla dünyaya geldiği kayıtlara geçti. Bu olay o kadar nadir ki, tüm tıp literatüründe 100'dan az vaka belgelenmiş durumda. Ayrıca tahminlere göre yalnızca 30 milyon doğumun birinde meydana geldiği düşünülüyor.
Radiology Case Reports'ta bildirilen vakada, sağlık görevlileri, çocuğun şu anki durumunu genel olarak "iyi" olarak nitelendirse de, tıbbi tanımda "aphallia" adı verilen bu durum, hamileliğin birkaç ayında genital organların rahimde normal şekilde gelişmemesi olarak tanımlanıyor. Bu vakada; bebeğin penisi bulunmasa da hala sağlam bir skrotumu ve iki testisi bulunuyor.

"ÜRİNER SİSTEMİN NASIL ÇALIŞTIĞI ANLAŞILDI"
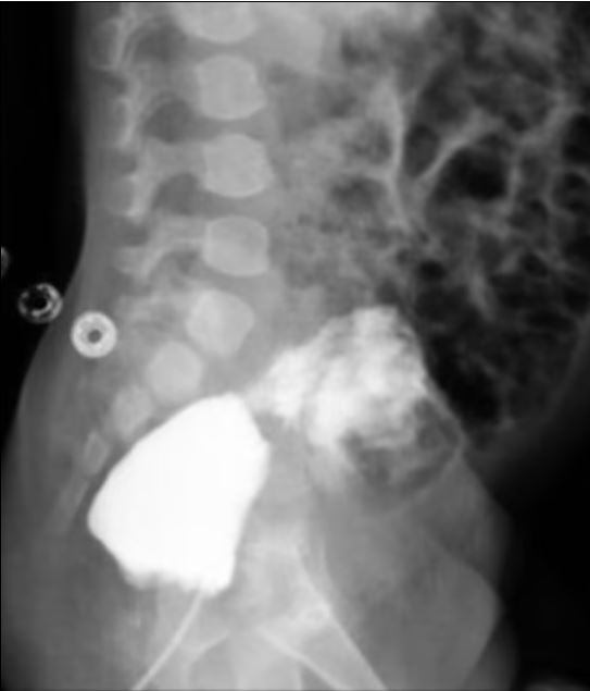
Penisi olmadan doğan bu bebeğin annesinin de kimliği açıklanmazken, raporda, hamileliği sırasında herhangi bir sorun yaşamadığını bildirmişti. Doğduktan sonra yapılan özel testler ise doktorların, üriner sistemin (idrar çıkışını sağlayan sistem) nasıl çalıştığını anlamalarını sağladı.
Özel bir boya ile mesane ve rektum arasındaki işlev incelendiğinde, bu iki organ arasında anormal bir bağlantı sağlayan bir fistülün bulunduğu belirlendi. Günümüzdeki cerrahlar ise; "falloplasti" ameliyatı adı verilen bir prosedürle, bu şartlar altında doğan erkek bebeklere yapay şekilde genital organları yapılıyor. Ayrıca Doktorların üriner sistemlerini tekrar birbirine bağlamasıyla onlara bir üretra da verilebilir.

"HALA NE YAPILMASI GEREKTİĞİNE DAİR SORULAR MEVCUT"
Yapılması gereken işlemler konusunda uzmanlar arasında hala tartışma söz konusuyken Zahedan Tıp Bilim Üniversitesi'ndeki sağlık görevlileri, konuyla ilgili hala net bir açıklama yapılmadı.
Aphallia'nın sadece her 10 milyon ila 30 milyon doğumda birinde meydana geldiği tahmin edilmektedir. Bununla birlikte, bazı uzmanlar, dünyanın bazı bölgelerinde durumu çevreleyen sosyal damgalama korkusu nedeniyle vakaların eksik bildirildiğine inanıyor. Bilim insanları ise; rahimde Aphallia oluşumunu neyin tetiklediğini bilmiyorlar.