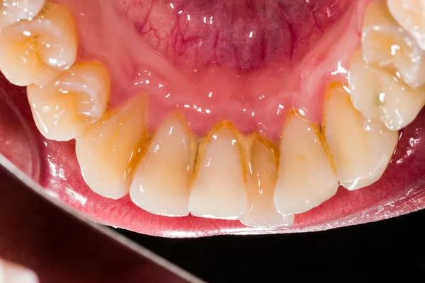
Diş eti kanaması diş eti hastalığının en belirgin göstergesidir. Peki diş etlerimiz neden kanar? Bir yerde enfeksiyon varsa vücudumuzun savunma mekanizması oradaki damarları genişletir ve o bölgeye daha fazla savunma hücresinin akmasına neden olur. Damarların aşırı şişmesi dokuda ödem ve kızarıklığın yanı sıra damar duvarlarının şişip incelmesine, en ufak bir travma sonucu kanamaya neden olur.
Dişetinin tartara yakın kısmındaki kılcal damarlar genişleyerek tartar içindeki bakterilere karşı savunma oluşturur. Elma ısırma, diş fırçalama gibi diş etlerinde mekanik baskı oluşturan eylemlerden sonra genişleyen kılcal damarlar travma geçirerek kanamaya başlar. Diş eti kanaması sorunu ancak neden olan tartarın çıkarılmasıyla çözülebilir. Tartar alındıktan sonra kılcal damarlar daralır, ödemli ve kırmızı görünüm kaybolur ve diş eti eski sağlıklı pembe görünümüne geri döner.

YÜZEYSEL KANAMALAR VE İLTİHAPLARA DİKKAT!
Diş eti kanamalarının ihmal edilmemesi gerekir. Eğer bunun sonrasında bakımı tekrar düzenli bir şekilde yapıp diş ve diş eti üzerindeki plak dediğimiz besin artıklarının, mikro seviyede öğütülmüş olan ve dişlerin üzerinde biriken kısımları uzaklaştırırsak tekrar sağlıklı hale dönebiliriz. Fakat biz eğer bu aşamada diş bakımını düzenli ve olması gereken biçimde yapmamışsak bir ileri aşamasında diş etinin üzerindeki yüzeysel kanamalar ve iltihaplar oluşmaya başlar. Bu aşamada diş hekimine giderek daha profesyonel bir temizlik yaptırmak zorundayız.

MUTLAKA DİŞ HEKİMİNE GİDİN!
Eğer bu dönemde de temizliği doğru bir şekilde yapmamışsak, kemik erimelerine doğru giden diş eti hastalıkları oluşur. Bu da artık o dişi kaybetmemize giden yolda çok önemli bir problem yaratacak durumdur. Eğer diş eti kanamalarımız varsa mutlaka diş hekimimizi ziyaret etmeliyiz ve diş hekimimizin önerdiği şekilde bakımları yapmaya başlamalıyız.