Kafatası kemikleri ve menings olarak isimlendirilen 3 adet ince zar tarafından korunması sağlanır.Serebrospinal sıvı denilen ve suya benzeyen bir sıvı, beyni sarar ve tampon görevi yapar. Meningsler arasındaki boşluklar ile beyin içindeki karıncık denilen boşluklarda beyin sıvısı bulunur. Beyin tümörü, beyindeki hücrelerin kontrolsüz büyümesidir.Tümörler,kötü huylu (kanser yapan) ya da iyi huylu (kanser yapmayan) olabilirler.İyi huylu olan tümörler dahi beyin içine yerleşirlerse tehlike yaratabilirler. Çünkü kafatası ile çevrili olan beyinde oluşan tümör büyürken normal beyin dokularına basınç uygularlar.Buna bağlı olarak iltihap ve beyinde şişme oluşabilir.Bu sebeple İki tip tömürde mümkün olduğunca çabuk tedavi edilmelidir. Beyin tümörleri kadınlara oranla erkeklerde daha çok görülür. Yaşa göre farklılık gösteren beyin tümörleri her yaş aralığında meydana gelebilir.
Beyin Tümörü Belirtileri; Baş ağrısı,kusma,kişilikte veya davranışta değişimler,zihinsel becerilerde gerileme,yeni başlayan nöbetler,konuşma bozuklukları,görme sorunları(bulanık ya da çift görme),apati (hareket ve mimiklerde yavaşlama),el titremesi,güçsüzlük,kontrolsüz ya da işlev bozukluğu olan hareketler, uyuşukluk,uyanıklığın azalması,koku duyusunda bozulma,bayılma (epilepsi nöbetleri), denge ve yürüme bozuklukları ve gözde anormallikler.
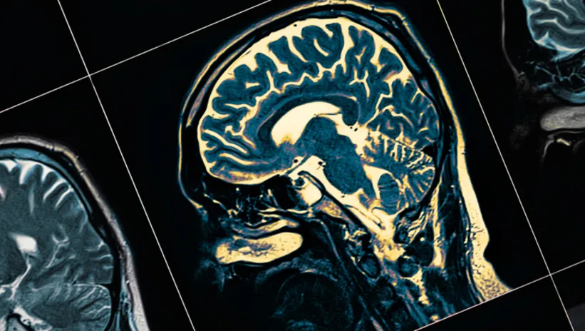
TANISI NASIL KONULUR?
İlk olarak hastanın hikayesi,genel ya da nörolojik muayenesi yapılır. Daha sonra Beyin tomografisi ve beyin manyetik rezonans görüntülemeden faydalanılır.Bu testler sayesinde beyin tümörü yerleşimi, cinsi, hakkında ve büyüklüğü ile ilgili çabuk ve kısa zamanda bilgi alınır.Bazı beyin tümörleri teşhisinde ise beyin biopsisi gereklidir.
TEDAVİSİ NEDİR?
Op. Dr. Mustafa Örnek,'' Beyin tümörünün tedavisi büyüklüğüne,yerleşim yerine,tipine göre değişim gösterir. Uzman tarafından değerlendirip konulan tanı sonrası tedaviye başlanır.Tedavi seçenekleri ise; cerrahi, radyoterapi, kemoterapi gibi 3 farklı yöntemdir.'' dedi.