İnme geçiren hastaların büyük bir bölümünden sorumlu tutulan karotis arter, yaygın bilinen ismiyle şah damarı hastalığı yarattığı etkiler büyük olmasına karşın yeterince tanınmayan bir hastalık. Bununla birlikte hastalık sinsi seyrettiği için fark edilmediği takdirde yaşam kaybıyla sonuçlanabilecek bir tabloyla karşı karşıya kalındığına söyleyen Kardiyoloji Uzmanı Prof. Dr. Olcay Özveren, hastalığın erken tespit edildiğinde tedavisinin mümkün olduğunu anlattı. Tüm dünyada yaşam kayıplarında hala kardiyovasküler hastalıkların ilk sırada yer aldığını hatırlatan Prof. Dr. Özveren, şah damarı hastalığının da bu hasta grupları içinde yaklaşık yüzde 36'lık orana sahip olduğunu belirtti.

"GENÇLERİ VE SPORCULARI DA ETKİLİYOR"
Şah damarı hastalığında ileri yaş risk faktörleri arasında yer alsa da bu sorunun gençleri de etkilediğini anlatan Prof. Dr. Özveren, "Karotis arter hastalığının cinsiyetler açısından görülme farklılığı bulunmuyor. Kadın erkek arasındaki oran neredeyse eşit. Daha çok yaşlı popülasyonda görülmekle birlikte genç popülasyonda bu hastalıkla karşı karşıya kalabiliyor. Özellikle sedanter hayat, beslenme şeklinin kötüleşmesi, diyabetin daha çok karşımıza çıkması, obezitenin artması şah damarı hastalığının genç popülasyonda izlenmesine, felç ve inmelerin artmasına sebep oluyor. Bununla birlikte genç aktif sporcularda ani boyun hareketleri ile damar içerisinde yırtıklar oluşabiliyor. Romatizmal hastalıkların seyrinde de vaskülit dediğimiz damar tutulumları olabiliyor. Dolayısıyla bu grubunda dikkatli olması gerekiyor" ifadelerini kullandı.

"ÇOĞUNLUKLA SİNSİ SEYREDER"
Karotis arterin felç geçirmiş hastaların büyük bir bölümünden sorumlu olan bir damar hastalığı olduğunu anlatan Prof. Dr. Özveren, "Özellikle koroner arter hastalığı açısından da riskli grupta yer alan; diyabet hastaları, sigara kullananlar,75 yaş üstü kişiler, yüksek tansiyon hastaları, sedanter hayat sürenler ve obez kişiler şah damarı hastalığı açısından da risk altında yer alıyor. Çoğunlukla sinsi seyreden bu sorun bazen klinikte muayene sırasında fark edilen üfürümle ortaya çıkar. Sonrasında ayrıntılı muayeneye geçilir" dedi.

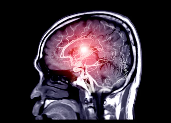
"GÖRÜNTÜLEME YÖNTEMLERİ HASTALIĞIN ORTAYA ÇIKMASINDA ÖNEMLİ"
Hastalığın görüntüleme yöntemleriyle açığa çıktığını söyleyen Prof. Dr. Özveren, "Bu hastalığı ultrasonografi, tomografik, anjiyografi, klasik anjiyografi, konvansiyonel anjiyografi yöntemlerle açığa çıkartabiliyoruz. Daralma çok tıkayıcı değilse, klinik sonlanım olmadıysa ya da damarı tıkayan segmentte yüzde 50'den daha az bir daralma söz konusuysa biz bunu ilaç tedavisi ile tedavi edebiliyoruz. İlaç tedavisi bunun küratif olarak olmasını engelleyebiliyor" şeklinde konuştu.

"TEDAVİ ŞEKLİ KİŞİYE GÖRE BELİRLENİR"
Şah damarı hastalıklarının tedavi edilebilir hastalıklar grubu arasında yer aldığının altını çizen Prof. Dr. Özveren, tedaviyle ilgili şu bilgileri verdi:
"Tedavide üç farklı yöntem kullanıyoruz. İlaç tedavisi, boyun damarına stent takılması ya da karotis endarterektomi dediğimiz cerrahi yöntemlerle plağı tedavi edebiliyoruz. Akut inme geliştiği zaman ise trombüs aspirasyon yöntemleri dediğimiz atan pıhtıyı alıp hastanın tamamen düzelmesini sağlayabiliyoruz. Bu tedavi yöntemlerinin çeşitlenmesinde hastanın klinik durumu, damar yapısı, ek hastalıkların varlığına göre değişebilir. Bazı hastalarda sekel -doku bozukluğu- kalabiliyor. Trombüs dediğimiz pıhtı atmasından sonra ilk 6 saat içerisinde girişim yapmak gerekiyor. Bu durumda hastalara tamamen iyileşme sağlanabiliyor."

TEKRARLAMASINI ÖNLEMEK İÇİN KLİNİK TAKİP ÖNEMLİ
Erken tedaviyle şah damarı hastalığının neden olabileceği yaşam kaybı ya da inme gibi sonuçların önüne geçilebildiğini ancak hastalığın tekrar etme riskinin olduğunun da bilinmesi gerektiğini anlatan Prof. Dr. Özveren konuşmasına şöyle devam etti:
"İki şah damarı olduğu için tek taraflı olan problemi çözdüğünüz zaman diğer tarafta da aynı problemle karşı karşıya kalma ihtimali var. Biz bunu klinik takiplerde engellemeye çalışıyoruz."

"5 YILLIK PERİYOTLARLA BOYUN DAMAR ULTRASONOGRAFİ YAPTIRMALARINI ÖNERİYORUZ"
Diğer kardiyovasküler hastalıklar gibi şah damarı hastalıkları da önlenebilir hastalıklar grubu içerisinde olduğunu belirten Kardiyoloji Uzmanı Prof. Dr. Olcay Özveren, korunma amacıyla yapılması gerekenleri şöyle sıraladı:
"45 yaş üstü popülasyonda da koroner arter risk faktörleri olan özellikle diyabet hastaları, sedanter yaşamı olanlar, obez kişiler, hipertansiyonu olanlar ve sigara içenlerin 5 yıllık periyotlarla boyun damar ultrasonografi yaptırmalarını öneriyoruz. Yaptığımız ultrasonografi incelemede boyun damarlarında ateroskleroz plak sapladığımız hastalarda bu takip sürecini yıllık periyotlarla indiriyoruz. Diğer kardiyovasküler hastalıklarda olduğunu gibi kişinin yaşam tarzı değişiklikleri de son derece önem taşıyor. Günlük hayatımızda sporu aktif etmek, beslenmemize dikkat etmek, obezite var ise diyet ve egzersizle obeziteden kurtulmak, diyabetin kontrolü, sigarayı bırakmak gibi faktörlerle aslında şah damarı hastalığını engelleyebiliyoruz."