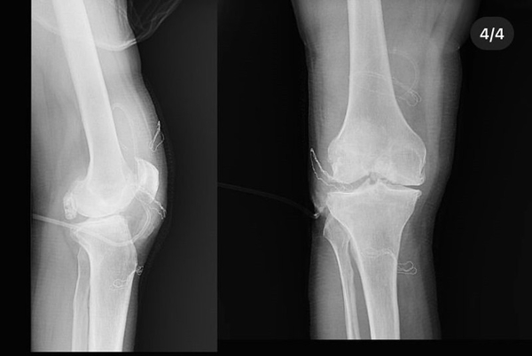
Diz ağrısı şikayeti ile geldiği Düzce Üniversitesi Tıp Fakültesi Hastanesi'nde ameliyata alınan hastanın dizlerinden toplam 41 adet multipl sinovial kondromatozisi çıkartıldı. Özellikle diz eklemi çevresinde görülmekle birlikte kalça, dirsek ve diğer eklemlerde de görülen, ufak parçalardan oluşan cisimler olarak tanımlanan eklem faresi, eklem çevresinde eklem sıvısı ya da sinoviyumda görülen kıkırdak ya da kemik parçalarıdır. Eklem farelerinin boyutları birkaç milimetreden birkaç santimetreye kadar çıkabiliyor.

Düzce Üniversitesi Tıp Fakültesi Hastanesi Ortopedi ve Travmatoloji Kliniği'nde başarılı geçen operasyonu; Doç. Dr. Zekeriya Okan Karaduman, Doç. Dr. Mehmet Arıcan ve Dr. Öğr. Üyesi Sönmez Sağlam gerçekleştirdi.