Kayıp dişler yüzünden zorluk çeken hastalar için dental implantlar en etkin çözümdür. Dental implantlar, kendi doğal dişleriniz gibi bir görüntü verir ve fonksiyonlarını o şekilde gerçekleştirir.
Dört İmplant Tekniği olarak adlandırabileceğimiz All on Four, tam dişsiz hastalarda belirli açılarla yerleştirilen dört adet dental implant üzerine, aynı gün diş protezinin sabitlenmesini sağlayan bir tekniktir.
All on Four tedavisi planlanan hastalara, öncelikle klinik ve radyolojik muayene yapılması gerekir. Bilgisayarlı tomografi (BT) üzerinde ölçümler yapılarak hastaya uygun bir planlama yapılır.
Bu tedavi; cerrahi ve diş protezi işlemleri olarak iki aşamadan oluşur. Tedavi günü, planlandığı şekilde hastaya dört adet dental implant yerleştirildikten sonra, aynı gün geçici diş protezi dental implantların üzerine sabitlenir. Üç ay sonra ise hastaya daimi diş protezleri yapılır.

All on Four kime uygulanır?
Bu tedavi, dental implant ameliyatına engel teşkil edecek herhangi bir sistemik hastalığı bulunmayan ve yeterli kemik hacmine sahip, hiç dişi olmayan hastaların hepsine uygulanabilir. İşlem sonrası dental implantların üzerine sabitlenen geçici diş protezi hemen kullanılabilir.
Ancak dental implantlar ile kemiğin kaynaşma süreci olan üç aylık dönemde hastaların tavsiye edilen bir diyet şekliyle beslenmesi gerekir. Bu süreç tamamlandıktan sonra normal beslenme düzenine geri dönülebilir.
All on Four; 10 yılı aşkın bir süredir diş hekimliğinde başarıyla uygulanan bir tekniktir. Bu teknik, diş hekimliğinde hastalara güvenilir, hızlı ve düşük maliyetli bir tedavi seçeneği sunmaktadır. Ekstra maliyet, teknoloji ve beceri gerektirmesine rağmen bu alanda uğraşan hekimler tarafından sıklıkla kullanılmakta ve çok yüksek bir başarı oranı sağlandığı görülmektedir. Oral implantoloji; çeşitli nedenlerle kaybedilen dişlerin yerine, doku dostu materyallerin yani implantların çene kemiğine yerleştirilmesi demektir.
Son yıllarda bilimsel çalışmaların artması, teknolojik olarak daha üstün implantların ve destek biomateryallerin geliştirilmesi ile 1900 ile 1985 yılları arasında, yüzde 85 olan başarı oranı yüzde 98'e kadar artmıştır.
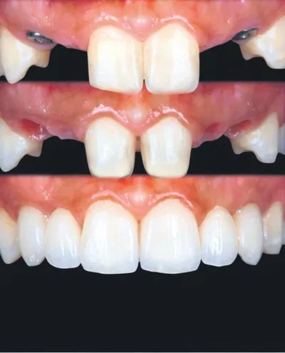
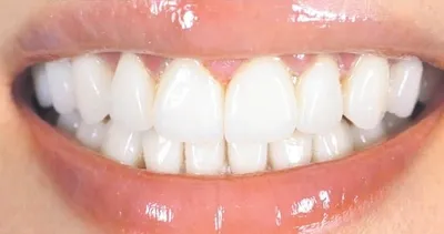
Günümüzde diş eksikliği oluştuğunda doğal dişlere hiçbir zarar vermeden implant tedavi planı hazırlanıp kaybedilmiş dişlerin yerine dental implantlar yapılmaktadır. Bu sayede kaybedilmiş olan fonksiyon ve estetik tekrar kazanılır.
Diş implantları; genel olarak tek diş eksikliklerinde, tek ya da çift taraflı birden fazla diş eksikliklerinde, tam dişsizlik durumunda ve ortodontik ankraj amacıyla sıklıkla kullanılır.

10 YIL AĞIZDA KALIR
Tedavide başarı oranı nedir?
Doğal dişler gibi implantlar da kaybedilebilir. Sağlık anlamındaki hiçbir teknik yüzde 100 başarılı değildir. Dünyada implantın ağızda kalma oranı yüzde 95-98 arasındadır. İyi bir tedavi planlanması ve uygun kemik hacmi ile implantların ortalama 10 yıl süre ile ağızda kalması başarı olarak görülmektedir.
İmplant tedavi kaybına neden olan sebepler nelerdir?
Yetersiz kemik hacmi, kemik kalitesinin yetersiz olması, sigara içme, bazı sistematik hastalıklar, ağız bakımının yetersiz olması, diş sıkma ve parafonksiyonal hareketler, periodontal yani diş eti hastalıkları; implantlarda karşılaşılan başarısızlıklara neden olmaktadır.
Her hastaya uygulanabilir mi?
Eğer genel sağlık koşulları uygun ise bir hastaya implant yapılabilmesi için ilk koşul yeterli kemik varlığının bulunmasıdır. Bu yeterli değilse kemik artırım teknikleri ugulanarak implant uygulaması yapılabilir. İmplant tedavisi multidisipliner bir alan olup belli bir süre almaktadır. Hasta seçimi ve hasta ile olan uyum başarı seviyesini ciddi bir şekilde etkilemektedir.
Başarısız olmuş implantlar yeniden yapılabilir mi?
Evet. Genellikle implant başarısızlığı sonucunda eğer kemik yeterliyse belli bir iyileşme süreci sonunda ya da farklı kemik artırımın metodları uygulanarak aynı bölgeye yeniden implant yapmak mümkündür. Bu nedenle implant tedavileri planlanırken olası başarısızlık ve bu durumda yapılabilecekler, hastalarla paylaşılmalıdır.
SAYISIZ AVANTAJI VAR
Tam dişsiz hastalara aynı gün tek bir cerrahi işlem ile sabit diş protezi yapabilme imkanı sunar.
Sinüs lifting (sinüs yükseltme ameliyatı), kemik ilavesi gibi bir ileri cerrahi işlem uygulanmadığından operasyon daha kolaydır.
Dental implant ameliyat süresi oldukça kısadır.
Kullanılan dental implant sayısı azaldığı için ve ekstra cerrahi işlem gerektirmediğinden dolayı maliyeti daha da düşüktür.
Kişiye özel planlama, estetik bir görünüm ile gülüş estetiği sağlanır.
Temizliği ve bakımı kolaydır.
Hareketli diş protezi kullanamayan hastalar için uygundur.
Dizaynı damaklı diş protezine (tam diş protezi) göre farklıdır. Hastanın damak kısmını kaplamadığı için kullanımı daha kolaydır.
Tedavi seansı sayısı az olduğundan, şehir veya ülke dışında ikamet eden hastalar için uygundur.

Peri implantitis nedir, nasıl önlenir?
Peri implantitis yapılmış implantların ardından, kısa dönemde ya da orta vade de implantların çevresinde oluşan kemik kaybı ve enflamasyona denir. Ağız bakımının kötü olması, uygun olmayan implant üstü protezler ve diş sıkma ana nedenlerdir. Peri implantitis doğal dişlerde olduğu gibi çeşitli tedavi protokolleri ile tedavi edilebilir.

İmplant tedavilerinde başarı üç faktöre bağlıdır
HEKİME BAĞLI FAKTÖRLER:
İmplant uygulanacak hekimin cerrahi kuralları iyi uygulaması, hastaya en uygun tedavi modelini seçmesidir. Ayrıca tedavi planını hasta ile paylaşarak nelerin yapılıp nelerin yapılmaması gerektiğinin belirlenmesidir.
HASTAYA BAĞLI FAKTÖRLER:
Hastanın, tedavi süreci boyunca hekimiyle iyi uyum sağlaması ve arzu ettiği tedavi planını hekimi ile detaylı bir şekilde belirlenmesinde yardımcı olması başarıyı artıracaktır.

ÜRETİCİYE BAĞLI FAKTÖRLER:
İmplantolojide kullanılan ve üretilen malzemelerin doku dostu olması, uzun yıllar fonksiyon gören kaliteli malzemeden yapılmış olmasıdır.