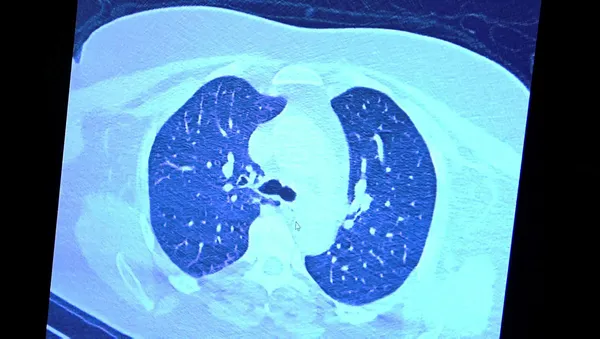
Son dakika: Corona virüste yeni mutasyon tartışmaları devam ederken test sonucu pozitif çıkan hastaların ilaç kullanmaması halinde yaşayabileceği sağlık sorunu gözler önüne serildi. Sağlık Bakanı Dr. Fahrettin Koca Samsun'daki yoğun bakım doluluk oranının yüzde 80 olduğunu açıkladı. Uzmanlar ise Samsun'daki yoğun bakım doluluk oranının yüksek olmasının sebebini evlerde tedavi gören pozitif hastaların ilaçlarını kullanmakta tereddüt etmesine bağlıyor. Göğüs Hastalıkları Kliniği'nden Prof. Dr. Şevket Özkaya da bir hafta ilaç kullanmayan bir pozitif hastanın akciğer tomografisini inceledi. Hasta pozitif haldeyken ilk akciğer tomografisine bakıldı.

SONUÇ İLAÇ KULLANIMININ ÖNEMİNİ ORTAYA ÇIKARDI
Tomografide akciğerlerdeki tutulmanın az olduğu gözlemlendi. Akabinde aynı hastanın verilen ilaçları kullanmamış ve 1 hafta boyunca tedaviye uymamış haldeki akciğer tomografisine bakıldı. Sonuç ise ilaç kullanımının önemini ortaya çıkardı. Hastanın akciğer tomografisinde yaygın buzlu camların ve hava yollarının hava yerine ciddi şekilde sıvı ile dolduğu gözlemlendi.

Akciğer tomografisinde oluşan değişim ile ilgili bilgi veren Prof. Dr. Şevket Özkaya, "Ekranda 55 yaşında bir kadın hastamızın filmini görüyorsunuz. Bu kadın hastamız acil servisimize ateş şikâyetiyle geldi ve korona virüsünden şüphe ettik. Testini yaptığımızda ise testin sonucu pozitif geldi. Tomografi çektiğimiz zaman akciğerlerinde henüz ciddi bir tutulum görünmezken hastamız 55 yaşında olduğu için her an ilerleyebilir korkusuyla Sağlık Bakanlığımızın önerdiği ilaçları ve reçeteyi hastanemizden kendisine verdik. Hasta kendini evde karantinaya aldı fakat sonradan öğrendik ki tereddüt ettiği için ilaçlarını kullanmayarak kendini evde tedavisiz bırakmış. Yaklaşık bir hafta sonra aynı hasta acil servisimize bu sefer solunum yetmezliği şikâyetiyle geldi. Solunum yetmezliği gelişince hastanın akciğer tomografisinde 'buzlu cam' dediğimiz ve daha ileri konsolide alanların oluştuğunu gördük. Yaygın akciğer harabiyeti dediğimiz bir tablo oluşmuştu. Bu durumda hastada solunum yetmezliği olduğu için yoğun bakıma almak zorunda kaldık" dedi.

"İLAÇ KULLANMAYAN HASTALARIN AKCİĞERLERİNDE HARABİYET VE SOLUNUM YETMEZLİĞİ İLE KARŞI KARŞIYA KALIYORUZ"
Tedaviye başlanmadığı durumda solunum yetmezliğine kadar gidildiğini ve bazı zamanlar hastayı kaybettiklerini söyleyen Prof. Dr. Şevket Özkaya, "Korona virüsün insanlar üzerindeki inanılmaz etkilerini son 3-4 ayda daha ağır hissettik. Bütün hastaneler ve yoğun bakımlar neredeyse tama yakın doluluk oranı ile çalışıyor. Sağlık çalışanlarından da çok fazla enfekte olan var. İnsanlarımızın özellikle bu hastalıktan korkarak doktora gelmediklerini; geldikleri zaman da kendilerine korona virüsü tanısı koyulduğunda sağlık bakanlığımızın önerdiği bütün hastalara ücretsiz dağıtılan ilaçları kullanmakta tereddüt ettikleri için inanılmaz derecede akciğerlerinde harabiyet ve solunum yetmezliği ile karşı karşıya kaldıklarını görüyoruz.

GERİYE DÖNÜŞÜ OLMAYAN SONUÇLAR ORTAYA ÇIKIYOR
Bizim bu konuda vatandaşlarımıza bu hastalığın ciddiyetinin bilincinde olarak sorumlulukla davranmalarını ve maske, mesafe, temizlik kuralına dikkat etmelerini öneriyoruz.
İlaç kullanan korona hastaları ile kullanmayanlar arasındaki inanılmaz fark | Video
Mutlaka en ufak şikâyetlerinde vakit kaybetmeden tanı konulmasını sağlamalarını ve bakanlığımızın verdiği ilaçları kullanmalarını öneriyoruz. Aksi takdirde gerçekten geriye dönüşü olmayan sonuçlarla karşılaşıyoruz" diye konuştu.

"AİLENİZİ SEVİYORSANIZ BAKANLIĞIMIZIN ÖNERDİĞİ TEDAVİLERDEN KAÇINMAYIN"
Hastalığa yakalandıktan sonra mutlaka doktora görünmek gerektiğini ifade eden Prof. Dr. Özkaya, "Mart, Nisan ve Mayıs aylarında yani pandeminin en yüksek olduğu dönemlerde, her evde bir pozitif vak'a gelince biz şaşırıyorduk fakat şimdi ailedeki herkes pozitif oluyor. Bu yüzden ailenizi ve toplumu seviyorsanız kurallara uyun ve bakanlığımızın önerdiği tedavilerden kaçınmayın diyoruz. Çünkü virüs enfekte ettikten bir süre sonra akciğerlerde yaygın buzlu camlara ve konsolidasyona neden oluyor. Eğer zamanında tedaviye başlanmazsa, bu durum solunum yetmezliğine kadar gidip maalesef hastanın kaybına yol açıyor. Bu yüzden mümkün olduğunca bilinçli ve kurallara uygun şekilde davranmamız gerekiyor" şeklinde konuştu.