Yıllar önce diş hekimleri dişleri onarıyorlardı ve bu bağlamdaki odak her zaman aynıydı: Diş boşluklarının giderilmesi ve dişeti hastalıklarının tedavisi.
Ancak flüoritlerin ortaya çıkışıyla ve dişteki boşluklara ve periodontal hastalıklara yol açan bakterilerin anlaşılmasıyla, diş hastalarının ihtiyaçları yavaş yavaş değişmeye başladı.
Bu bağlamda biz diş hekimleri; artık gülümseyen bir estetiğe önem vermeye başladık. Artık hastaların sordukları soruların temelini 'Dişlerimin daha iyi görünmesini nasıl sağlayabilirim?' sorusu teşkil ediyor.
Bu soruya yönelik olarak ekip çalışmasına ihtiyaç duyulmakta olup ayrıca daha önceden bağımsız olan koruyucu diş hekimleri ve çene yüz cerrahisi, toplumun daha iyi görünme arzusunu yerine getiriyor. İşte bizim uzmanlık alanımız tam olarak da bu.
Bu nedenle bütün uzmanlar, estetik bir oluşumun gerçekleşmesindeki çeşitli bilimlerin rollerini kapsamlı bir şekilde kavramış bulunuyor.
Estetikle başlayan ve daha sonra planlanan tedavinin fonksiyon/işlev üzerine olan etkisini dikkate alan diş hekimi, her bir hastanın diş bakımını en yüksek düzeyde tutabilmek için çeşitli bilimlerden yararlanıyor. İşte biz bu prosesi 'Bilimler arası estetik diş hekimliği' olarak adlandırıyoruz ve bu gerçekten de işe yarıyor.
Sonuç olarak; diş estetiği alanında uzman olmak, sadece estetik tedavi alanında geniş bir yelpazede öneride bulunmak anlamına gelmez.
Aynı zamanda estetiğin her zaman mükemmel sonuçlar vermesini sağlamak amacıyla uygun diş tedavilerinin uygulanması anlamına da gelir.
LENS LAMİNE NEDİR?
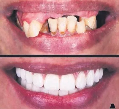
Lens lamine, bilinen diş kaplamalarının tam tersi iğne kullanılmadan ve diş yüzeyinde hiç aşındırma yapmadan, dişlerin ön yüzeylerine uygulanan çok ince restorasyon (0.2 mm. kalınlığında) çeşididir. (Normal kaplamalar 0.5. mm. kalınlığındadır.) Porselen laminalarda olduğu gibi istenilen renkte veya şekilde hazırlanmaları mümkündür. Özel bir porselenden üretilen lens laminenin, yapılan çalışmalarda oldukça yüksek bir dirence sahip olduğu bildirilmiştir.
Herhangi bir enjeksiyona ihtiyaç duyulmaması, ağrı olmaması ve arzu edilen estetiğin sağlanabilmesi gibi sebeplerden ötürü lens lamine ülkemizde de talep görmeye başlamıştır.
Lens lamine; sizde zaten var olan güzel, sağlıklı, doğal ve kalıcı gülümsemenizi ortaya çıkaran bir işlemdir.
Size özel tasarlanan ultra ince lens lamine, her zaman hayalini kurduğunuz gülümsemeyi ortaya çıkarır. Geleneksel kaplamaların tam tersi, iğnesiz, hassas diş yapısını törpülemeden ve acısız bir işlemdir. Hatta bu işlemin geri dönüşü bile var, yani kaybedecek hiçbir şeyiniz yok yalnızca kazanacağınız güzel bir gülümsemeniz var. Buna ek olarak lens laminelerin destek aldığı diş daha büyük olduğu için klasik laminelerden daha uzun ömürlüdür. Uzun yıllar boyunca güzel gülümsemeniz hep sizinle birlikte olacak. Bu işlem diş hekimine, dişleri tek tek değil, hepsini bir anda yerleştirmesine olanak sağlar. Ayrıca bu işlemle, özel dijital tasarım ve önceden nasıl olacağını görme teknolojisi ve dişçi koltuğunda daha az zaman harcama size sunuluyor.

İKİ KEZ GİTMENİZ YETERLİ
Gülümsemenizi lens lamine teknolojisi ile tamamen değiştirmek için, yalnızca diş hekiminize yapacağınız iki kısa ziyaret gereklidir. İlk ziyaretinizde diş kalıbınız alınacaktır. İkinci ziyaretinizde ise size özel tasarlanan lens laminenin uygunluğu ve rengi kontrol edildikten sonra acısız, ağrısız bir şekilde dişlerinize yerleştirilecektir. İşte bu kadar! Sağlıklı, doğal, kalıcı beyaz gülümsemenize yalnızca iki ziyaretten sonra kavuştunuz.
KAÇ TÜR GÜLÜŞ İFADESİ VARDIR?
Gülüş ifadeleri 3 ana başlıkta toplanır:
1. ÇEKİCİ GÜLÜŞ (SEXY SMILE): Ön dişlerin yan dişlere göre uzun olduğu, düşük dizayndır. Bu dizayn; genç, dinamik ve çekiçi bir gülümseme kazandırır. Daha çok genç yaştaki bireyler için uygundur.
2. ENTELEKTÜEL GÜLÜŞ (SOPHISTICATED SMILE): Entelektüel gülümsemede, dişler yatay, düz bir çizgi şeklinde sıralanır. Bu gülüş, yüze olgun ve bilgili bir ifade verir.
3. SPORTİF GÜLÜMSEME (SPORTY SMILE): Orta kesici dişlerin, yan dişlerden çok az miktarda uzun olduğu gülüştür. İfadede hem entelektüel, hem de çekici gülüş havası vardır, içten ve sıcak bir ifade kazandırır.

ORTODONTİK TEDAVİ
ÇOCUKLUK döneminde ihmal edilmiş, tedavisi yapılamamış ya da 20 yaş dişleri gibi nedenlerle dişlerin yer değiştirmemesi sonucu oluşan çapraşıklıklar, hem estetik sorunlara sebep olur, hem de diş temizliği ve ağız hijyeninin sağlanmasını zorlaştırır. Gelişen teknoloji ve tedavi teknikleri sayesinde, erişkinlerde de ortodontik tedavi uygulanabilmektedir. Günümüzde milimetrik boyutta ve diş renginde üretilen braketler sayesinde hastaların ortodonti tedavisine daha sıcak bakmaları sağlanabilmiştir. Ortodonti tedavisinde seramik braketler ve teflon teller kullanılabilmesi, daha estetik bir görünüm sunmaktadır. Tedavinin süresi dişlerdeki çapraşıklık durumuna göre değişmektedir. Bu süre zarfında, dikkat edilmesi gereken bazı noktalar vardır. Sert, kabuklu, cips gibi tellere yapıştığında temizlenmesi güç olan yiyecekleri, asitli içecekleri tüketmekten kaçınmak ve diş fırçalamaya her zamankinden fazla önem vermek gerekmektedir.
GÜLÜŞ TASARIMI
GÜLÜŞ tasarımı yapılırken yüz hatları, yaş, cinsiyet, dişlerin sıralanışı ve rengi, diş etleri, dudaklar; gülüş simetrisi belirleyici özelliklerdir. Kişinin yüz hatları uygun diş biçimi için bilgi vermektedir.
KADINLARDA: Geçişler daha yumuşak, burun ve kaş kemerleri daha siliktir. Dişlerde paralellik vardır, dişlerin köşeleri daha yumuşak döner, gülme hattı yukarıya doğru kavislidir, ortadaki iki diş yandaki dişlerden daha uzundur, komşu köşeleri arasında minik boşluklar vardır.
ERKEKLERDE: Yüz hatları daha keskin ve belirgindir; alın, burun, çene orantısı kadın yüzüyle farklılıklar gösterir. Komşu dişler daha düz bir hatta birleşirler, dişlerin hatları daha belirgindir. Gülme hattı daha düzdür.
PORSELEN LAMİNE NEDİR?
Lemine, Latince yaprak demektir. Dişlerin kesilmeden sadece ön yüzleri 0.3- 0.7 mm. inceltilerek yapılan ve sağlam diş dokusunun en az kaybedildiği yöntemdir.
Bu, inceltilen alana porselen diş laminalarının yapıştırılması işlemidir.