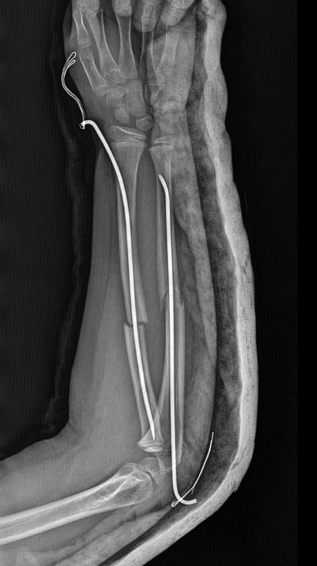
Olay, geçtiğimiz ay Büyükçekmece Tepecik'te bulunan bir ilkokulda meydana geldi. İddiaya göre 8 yaşındaki Y.K.Ş. okulda bir süredir kendisini rahatsız eden 9 yaşındaki çocuk tarafından darp edilerek kolu ikiye katlandı. Y.K.Ş.'nin 2'ye katlanan kolu 2 ayrı yerinden kırıldı. Öğretmenler Y.K.Ş.'nin ailesini arayarak, 'oğlunuz arkadaşıyla kavga etti duvara çarptı' denildi.

Oğlunu okuldan alıp hastaneye götüren anne Songül Gökdemir, oğlunun kolunun 2 ayrı yerinden kırıldığını öğrenip ameliyata alınacağını duyduğunda büyük şok yaşadı. Konuyla ilgili anne Gökdemir savcılığa giderek şikayetçi oldu. Savcılıktan ise 'söz konusu Suça Sürüklenen Çocuğun yaşının 12'den küçük olduğu gerekçesi ile kovuşturmaya yer yoktur' kararı çıktı. Anne Gökdemir karara itiraz ederken mağdur Y.K.Ş. ise haftalardır okula gidemiyor. Eğitimi aksayan çocuğun 2 hafta sonra ise platinlerinin çıkarılması için yeniden ameliyata gireceği öğrenildi.

"ARKADAŞININ KOLUNU KIRMAYA ÇALIŞTIĞINI SÖYLEDİ..."
Yaşanan olayı anlatan Songül Gökdemir, " Arkadaşlarından darbe aldığını biliyordum. Ayrıca Eylül ayından bu yana bir arkadaşının onun kolunu kırmaya çalıştığını söyledi. Ben de 'arkadaşını öğretmene söyle' dedim. Bundan kaçıyordu. O gün de rehber öğretmenine bu arkadaşını şikayet ettiler. Ben işe gittim 1 saat sonra öğretmeni aradı. Oğlunuz arkadaşıyla birbirini itekledi kolunu duvara çarptı gelir misiniz ?' dedi.

Kendi imkanımla hastaneye götürdüm. Okula gittiğimde de oğlum derste oturuyordu. Öğretmen ders işliyordu ambulans çağırılmamış. Hastanede kolunda 2 tane kırık olduğunu acilen de ameliyata girmesi gerektiğini öğrendim. 3 gün sonra ameliyata alındı. Kolundaki platinlerden dolayı her gün pansumanı var. 2 hafta sonra tekrar ameliyatı var" dedi.

"ÖĞRETMENE ŞİKAYET ETTİĞİ İÇİN KIRDIM"
Okulun ve karşı tarafın ailesinin şikayetten sonra eve geldiğini ifade eden anne Songül Gökdemir," Dedikleri tek şey 'biz çalışıyoruz ilgilenemiyoruz' oldu. Oğluma bunu yapan 4.sınıflar 3'üncü sınıfların katına inip çete şeklinde kapüşonlarını çekip itiyorlar. Başka çocuklara karşı da merdivenlerden itme var darp etme var. O gün öğrenci geçmiş olsun diye geldiklerinde sordum. Sabah öğretmene şikayet ettiği için intikam almış. Bana böyle söyledi. Kolunu çeviriyor arkaya doğru. Zaten çığlık çığlığa bağırıyor. Oğlumun arkadaşları geliyor. Kamera kayıtları yok çünkü kameranın görmediği yerde olmuş denildi" diye konuştu.