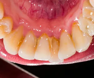
Dişlere, diş etlerine, diş dolgusuna ve diş protezlerine tutunan yapışkan ve yumuşak bakteri tabakasına diş plağı denir. Bu plaklar tükürüğümüzde bulunan mineraller ile birleşerek sertleşir ve tartar denilen tabakayı meydana getirirler.
Diş tartarının diğer adı diş taşıdır. Dişlerde gıda kalıntısı birikmesi, bakteriler, genetik, diş ipi kullanmama, diş fırçalama alışkanlığı edinmeme gibi nedenlerden dolayı dişlerde zamanla tartar ve plak oluşumu gerçekleşir.
CEVİZ
Malzemeler
40 gr ceviz kabuğu
1 su bardağı su
Ceviz kabuğu antibakteriyel özelliği sayesinde dişteki tartar ve plaktan kurtulmanın en etkili ve doğal yöntemidir. Ceviz kabuklarını bir bardak suyun içine koyup 20 dk kaynatın. Ocaktan alıp soğumaya bırakın. Diş fırçanızı soğumuş olan bu suda 10 dakika bekletin. Bu suyla dişlerinizi fırçalayın. Günde 3 kez devam edin.
KARBONAT
Malzemeler
1 tatlı kaşığı karbonat
1 tutam tuz
Diş fırçası
Karbonat antibakteriyel özelliği sayesinde plak ve tartarı yok eder, ayrıca dişlerin beyazlamasına da yardımcı olur. Antrasit içeriği ile ağız içi pH seviyesini dengeler. Tuz da antimikrobiyal madde olduğundan kısa sürede plak ve tartarlardan kurtulmanızı sağlar. Karbonat ve tuzu karıştırıp, diş fırçanızı ıslatıp bu karışıma batırın. Dişlerinizi nazikçe bu karışımla fırçalayın. Ardından ağzınızı suyla çalkalayıp tükürün. Bu yönteme gün aşırı yani birer gün ara verip devam edin.
LİMON SUYU
Malzemeler
1 tatlı kaşığı limon suyu
Diş fırçası
Limon suyu asidik içeriği sayesinde antimikrobiyal özelliği gösterir. Plak ve tartarın çözülmesine ve nihayetinde yok edilmesine yardımcı olur. Dişlerinizi her zamanki gibi fırçalayın. Ardından diş fırçanızı yıkayın, limonlu suya daldırın. Bu su ile dişlerinizi ve diş etlerini hafifçe ovun. Bir dakika bekleyip suyla ağzınızı durulayın.
ALOE VERA
Malzemeler
1 tatlı kaşığı aloe vera jeli
4 tatlı kaşığı bitkisel gliserin
4-5 yemek kaşığı karbonat
10 damla limon yağı
1 su bardağı su
Aloe vera bakterilerin ürettiği serbest radikalleri uzaklaştırarak dişlerin ve diş etlerinin iyileşmesini sağlayabilen yararlı antioksidanlar içerirç Limon esansiyel yağı plak ve tartar neden bakterilerden kurtulmak için kullanılabilecek harika bir antimikrobiyal maddedir.
İnternetten yahut bitki satan yerden aloe vera bitkisi temin edip, yaprağı kesin ve içinden aloe vera jeli çıkarın. Pürüzsüz bir macun elde etmek için bütün malzemeleri karıştırın. Bu karışımla dişlerinizi ovun. Ardından suyla ağzınızı çalkalayıp tükürün. Plak yok olana kadar 3-4 kez kullanın.
SUSAM
Malzemeler
1 yemek kaşığı susam
1 diş fırçası
Bir yemek kaşığı susamı çiğneyin fakat yutmayın. Susam ağzınızdayken dişlerinizi kuru bir diş fırçasıyla fırçalayın. Ardından suyla durulayın. Haftada iki kez buna devam edin. Susam doğal peeling sayesinde dişlerinizi temizler.